- МКБ-10
- Классификация
- Причины ушибов мозга
- Патогенез ушиба – как это происходит
- Виды
- Легкая степень — симптоматика
- Первые признаки ушиба легкой степени, с которыми стоит обратиться к врачу
- Диффузное аксональное повреждение головного мозга
- Симптомы
- Диагноз
- Симптомы средней тяжести
- Признаки средней тяжести, с которыми – срочно к врачу
- Симптомы тяжелой степени
- Первые признаки тяжелой степени, требующие незамедлительной госпитализации
- Что делать тем, кто оказался рядом? Первая помощь
- Диагностика
- Отличия от сотрясения
- Методы лечения головы
- Если медлить некогда
- Показания к операции
- Виды операций
- Консервативный метод лечения ушиба головного мозга
- Защитить клетки головного мозга
- Народные средства – как дополнительная терапия
- Могут ли быть осложнения?
- Восстанавливаемся правильно
- Какие физиопроцедуры могут назначить?
- Лечебная гимнастика – в помощь выздоравливающему
МКБ-10
Ушибленная рана головы по МКБ-10 относится к разделу S00-S09. А более конкретно к S06.
| S06.2 Диффузная травма головного мозга |
| S06.3 Очаговая травма головного мозга |
Классификация
По патофизиологии ЧМТ:
1. Первичные – повреждения обусловлены непосредственным воздействием травмирующих сил на кости черепа, мозговые оболочки и мозговую ткань, сосуды мозга и ликворную систему.
2. Вторичные – повреждения не связаны с непосредственным повреждением мозга, но обусловлены последствиями первичного повреждения мозга и развиваются в основном по типу вторичных ишемических изменений мозговой ткани (внутричерепные и системные).
Внутричерепные – цереброваскулярные изменения, нарушения ликвороциркуляции, отек мозга, изменения внутричерепного давления, дислокационный синдром.
Системные – артериальная гипотензия, гипоксия, гипер- и гипокапния, гипер- и гипонатриемия, гипертермия, нарушение углеводного обмена, ДВС-синдром.
По тяжести состояния больных с ЧМТ – основывается на оценке степени угнетения сознания пострадавшего, наличии и выраженности неврологических симптомов, наличии или отсутствии повреждения других органов. Наибольшее распространение получила шкала комы Глазго (предложенная G. Teasdale и B. Jennet 1974г.). Состояние пострадавших оценивают при первом контакте с больным, через 12 и 24 часа по трем параметрам: открыванию глаз, речевому ответу и двигательной реакции в ответ на внешнее раздражение.
Выделяют классификацию нарушений сознания при ЧМТ, основанную на качественной оценке степени угнетения сознания, где существуют следующие градации состояния сознания: — ясное; — умеренное оглушение; — глубокое оглушение; — сопор; — умеренная кома; — глубокая кома; — запредельная кома; К легким ЗЧМТ относят сотрясение головного мозга и ушиб головного мозга легкой степени.
ЗЧМТ средней степени тяжести – ушиб головного мозга средней тяжести.
К тяжелой ЗЧМТ относят ушиб головного мозга тяжелой степени и все виды сдавления головного мозга.
Выделяют 5 градаций состояния больных с ЧМТ: — удовлетворительное; — средней тяжести; — тяжелое; — крайне тяжелое; — терминальное.
Критериями удовлетворительного состояния являются: — ясное сознание; — отсутствие нарушений витальных функций; — отсутствие вторичной (дислокационной) неврологической симптоматики, отсутствие или нерезкая выраженность первичных полушарных и краниобазальных симптомов. Угроза для жизни отсутствует, прогноз восстановления трудоспособности обычно хороший.
Критериями состояния средней тяжести являются: — ясное сознание или умеренное оглушение; — витальные функции не нарушены (возможна лишь брадикардия); — очаговые симптомы – могут быть выражены те или иные полушарные и краниобазальные симптомы. Иногда наблюдаются единичные, мягко выраженные стволовые симптомы (спонтанный нистагм и др.).
Для констатации состояния средней степени тяжести достаточно иметь один из указанных параметров. Угроза для жизни незначительная, прогноз восстановления трудоспособности чаще благоприятный.
Критерии тяжелого состояния (15-60 мин.): — изменение сознания до глубокого оглушения или сопора; — нарушение витальных функций (умеренное по одному-двум показателям); — очаговые симптомы – стволовые умеренно выражены (анизокория, легкое ограничение взора вверх, спонтанный нистагм, контралатеральная пирамидная недостаточность, диссоциация менингеальных симптомов по оси тела и др.); могут быть резко выражены полушарные и краниобазальные симптомы, в том числе эпилептические припадки, парезы и параличи.
Для констатации тяжелого состояния допустимо иметь указанные нарушения хотя бы по одному из параметров. Угроза для жизни значительная, во многом зависит от длительности тяжелого состояния, прогноз восстановления трудоспособности чаще неблагоприятный.
Критериями крайне тяжелого состояния являются (6-12 часов): — нарушение сознания до умеренной или глубокой комы; — резко выраженное нарушение витальных функций по нескольким параметрам; — очаговые симптомы – стволовые выражены четко (парез взора вверх, выраженная анизокория, дивергенция глаз по вертикали или горизонтали, тонический спонтанный нистагм, ослабление реакции зрачков на свет, двусторонние патологические рефлексы, децеребрационная ригидность и др.); полушарные и краниобазальные симптомы резко выражены (вплоть до двусторонних и множественных парезов).
При констатации крайне тяжелого состояния необходимо иметь выраженные нарушения по всем параметрам, причем по одному из них обязательно предельное, угроза для жизни максимальная. Прогноз восстановления трудоспособности чаще неблагоприятный.
Критерии терминального состояния следующие: — нарушение сознания до уровня запредельной комы; — критическое нарушение витальных функций; — очаговые симптомы – стволовые в виде предельного двустороннего мидриаза, отсутствие роговичных и зрачковых реакций; полушарные и краниобазальные обычно перекрыты общемозговыми и стволовыми нарушениями. Прогноз выживания больного неблагоприятный.
Клинические формы ЧМТ
По типам выделяют: 1. Изолированная. 2. Сочетанная. 3. Комбинированная. 4. Повторная.
Черепно-мозговую травму разделяют на: 1. Закрытую. 2. Открытую:
— непроникающую;
— проникающую.
По видам повреждений мозга различают:
1. Сотрясение головного мозга – состояние, возникающее чаще вследствие воздействия небольшой травмирующей силы. Встречается почти у 70% пострадавших с ЧМТ. Сотрясение характеризуется отсутствием утраты сознания или кратковременной утратой сознания после травмы: от 1-2 до 10-15 минут. Больные жалуются на головные боли, тошноту, реже — рвоту, головокружение, слабость, болезненность при движении глазных яблок.
Может быть легкая асимметрия сухожильных рефлексов. Ретроградная амнезия (если она возникает) кратковременна. Антероретроградной амнезии не бывает. При сотрясении мозга указанные явления вызваны функциональным поражением головного мозга и по прошествии 5-8 дней проходят. Для установления диагноза необязательно наличие всех указанных симптомов. Сотрясение головного мозга является единой формой и не подразделяется на степени тяжести.
2. Ушиб головного мозга – это повреждение в виде макроструктурной деструкции вещества мозга, чаще с геморрагическим компонентом, возникшим в момент приложения травмирующей силы. По клиническому течению и выраженности повреждения мозговой ткани, ушибы мозга разделяют на ушибы легкой, средней и тяжелой степени.
3. Ушиб мозга легкой степени (10-15% пострадавших). После травмы отмечается утрата сознания от нескольких минут до 40 мин. У большинства имеется ретроградная амнезия на период до 30 мин. Если возникает антероретроградная амнезия, то она непродолжительна. После восстановления сознания пострадавший жалуется на головную боль, тошноту, рвоту (часто повторную), головокружение, ослабление внимания, памяти.
Могут выявляться — нистагм (чаще горизонтальный), анизорефлексия, иногда легкий гемипарез. Иногда появляются патологические рефлексы. Вследствие субарахноидального кровоизлияния может выявляться легко выраженный менингеальный синдром. Может наблюдаться бради- и тахикардия, транзиторное увеличение артериального давления на 10-15 мм рт. ст. Симптоматика регрессирует обычно в течение 1-3 недель после травмы. Ушиб головного мозга легкой степени тяжести может сопровождаться переломами костей черепа.
4. Ушиб головного мозга средней степени тяжести. Утрата сознания длится от нескольких десятков минут до 2-4 часов. Угнетение сознания до уровня умеренного или глубокого оглушения может сохраняться в течение нескольких часов или суток. Наблюдается выраженная головная боль, часто повторная рвота. Горизонтальный нистагм, ослабление реакции зрачков на свет, возможно нарушение конвергенции.
Отмечаются диссоциация сухожильных рефлексов, иногда умеренно выраженный гемипарез и патологические рефлексы. Могут быть нарушения чувствительности, речевые расстройства. Менингеальный синдром умеренно выражен, а ликворное давление умеренно повышено (за исключением пострадавших, у которых имеется ликворея).
Имеется тахи- или брадикардия. Нарушения дыхания в виде умеренного тахипноэ без нарушения ритма и не требует аппаратной коррекции. Температура субфебрильная. В 1-е сутки могут быть — психомоторное возбуждение, иногда судорожные припадки. Имеется ретро- и антероретроградная амнезия.
5. Ушиб мозга тяжелой степени. Утрата сознания длится от нескольких часов до нескольких суток (у части больных с переходом в апаллический синдром или акинетический мутизм). Угнетение сознания до сопора или комы. Может быть выраженное психомоторное возбуждение, сменяющееся атонией.
Выражены стволовые симптомы – плавающие движения глазных яблок, разностояние глазных яблок по вертикальной оси, фиксация взора вниз, анизокория. Реакция зрачков на свет и роговичные рефлексы угнетены. Глотание нарушено. Иногда развивается горметония на болевые раздражения или спонтанно. Двусторонние патологические стопные рефлексы. Имеются изменения мышечного тонуса, часто – гемипарез, анизорефлексия. Могут быть судорожные припадки.
Нарушение дыхания – по центральному или периферическому типу (тахи- или брадипноэ). Артериальное давление или повышено, или снижено (может быть нормальным), а при атонической коме нестабильно и требует постоянной медикаментозной поддержки. Выражен менингеальный синдром.
К особой форме ушибов мозга относится диффузное аксональное повреждение мозга. Его клинические признаки включают нарушение функции мозгового ствола – угнетение сознания до глубокой комы, резко выраженное нарушение витальных функций, которые требуют обязательной медикаментозной и аппаратной коррекции.
Летальность при диффузном аксональном повреждении мозга очень высока и достигает 80-90%, а у выживших развивается апаллический синдром. Диффузно аксональное повреждение может сопровождаться образованием внутричерепных гематом.
6. Сдавление мозга (нарастающее и ненарастающее) – происходит за счет уменьшения внутричерепного пространства объемными образованиями. Следует иметь в виду, что любое «ненарастающее» сдавление при ЧМТ может стать нарастающим и привести к выраженной компрессии и дислокации мозга. К ненарастающим сдавлениям относят сдавление отломками костей черепа при вдавленных переломах, давление на мозг другими инородными телами. В этих случаях само сдавливающее мозг образование не увеличивается в объеме.
В генезе сдавления мозга ведущую роль играют вторичные внутричерепные механизмы. К нарастающим сдавлениям относятся все виды внутричерепных гематом и ушибы мозга, сопровождающиеся масс-эффектом.
Внутричерепные гематомы: — эпидуральные; — субдуральные; — внутримозговые; — внутрижелудочковые; — множественные подоболочечные гематомы; — субдуральные гидромы.
Гематомы могут быть: острыми (первые 3 суток), подострыми (4 сут.-3 недель) и хроническими (позже 3 недель).
Классическая клиническая картина внутричерепных гематом включает наличие светлого промежутка, анизокорию, гемипарез, брадикардию, которая встречается реже. Классическая клиника характерна для гематом без сопутствующего ушиба мозга. У пострадавших с гематомами в сочетании с ушибом головного мозга уже с первых часов ЧМТ имеются признаки первичного повреждения мозга и симптомы сдавления и дислокации мозга, обусловленные ушибом мозговой ткани.
Причины ушибов мозга
Ушиб мозга – следствие травмы, статистика подтверждает, что наиболее частой причиной является удар о лобовое стекло машины при столкновении автомобилей в дорожно- транспортных авариях. Но также механическое воздействие на область головы, вызывающее ушиб мозга могут быть вызваны:
- Падением;
- Ударами о твердую поверхность;
- Целенаправленными ударами в область головы – случаи предумышленного криминального посягательства;
- Бытовые травмы;
- Спортивные;
- Игровые;
- ДТП, аварии;
- Приступы эпилепсии и внезапные падения;
- Производственные травмы — результат несчастного случая и пр.
При сборе анамнеза врач сразу установит основную причину возникновения ушиба головного мозга, это важно для дальнейшего лечения пострадавшего.
В группу риска чаще входят:
- Дети;
- Старики;
- Пациенты с хроническими заболеваниями;
- Работающие на опасных производствах;
- Любители погонять на авто.
По статистике, которую предлагает АиФ «жители России чаще всего получают ЧМТ в состоянии алкогольного опьянения (70% случаев) и вследствие драк (60%).»
Патогенез ушиба – как это происходит

Механизм развития ушиба или патогенез всегда основаны на механическом воздействии на мозг извне. В области физического контакта формируется зона повышенного давления, здесь же повреждаются мягкие ткани, сосуды, нервные клетки и окончания.
Если с одной стороны давление увеличивается, то, соответственно именно здесь основной приток крови. Тогда противоположная сторона остается как бы обескровленной и там сильно и резко падает давление, что является причиной возникновения нарушений и в этой зоне. Практика доказывает, что патологии противоположной части иногда сильнее, чем той, на которую пришелся удар.
Потеря сознания происходит вследствие того, что при ударе полушария головного мозга смещаются вместе с корой, что приводит к отсутствию передачи сигналов во внутренние отделы мозга.
Кровоизлияния провоцируются резким перемещением спинномозговой жидкости во время удара, сосуды, особенно мелкие не выдерживают и лопаются.
Все поврежденные при ударе области смещаются, кровообращение нарушается, клетки перестают нормально функционировать, все это приводит к отеку поврежденных очагов.
Если удар сильный, то возникает тяжелый ушиб, сопровождающийся субарахноидальным кровоизлиянием, переломами, а также гематомами, проявляющимися внутри черепа. Новообразования могут появиться и спустя время после удара.
Виды
Классифицировать ушибы головного мозга можно по очагам возникновения некрозных тканей, то есть по тем местам мозга, куда пришлось наиболее сильное механическое воздействие:
- Лобная область;
- Височная;
- Область затылочных долей.
После травмы могут развиваться следующие виды повреждений:
- Односторонние,
- Двухсторонние.
По степени тяжести ушибы делятся на виды:
- Легкой тяжести;
- Средней;
- Тяжелой степени.
Основным симптомом определения степени тяжести будет являться потеря сознания – чем дольше человек был в бессознательном состоянии, тем тяжелее степень ушиба мозга.
Легкая степень — симптоматика

После такого ушиба человек может потерять сознание на несколько минут, у него появляются симптомы:
- Головная боль;
- Тошнота;
- Рвота;
- Потемнение в глазах;
- Головокружение;
- Временная потеря координации.
Как сопутствующие болезни могут возникнуть:
- Умеренная брадикардия;
- Тахикардия;
- Артериальная гипертензия;
- Нарушение витальных функций.
Даже в легкой форме могут быть переломы костей черепа с кровоизлиянием. Но при этом температура тела остается в норме.
Срочная диагностика просто необходима, последствия могут быть разными.
Первые признаки ушиба легкой степени, с которыми стоит обратиться к врачу
Легкая степень не дает повода заниматься самолечением, только врач сможет определить, насколько опасен ушиб. Ведь даже с минимальными симптомами ушиб мозга может впоследствии выразиться серьезными болезнями. Поэтому даже если вы получили незначительный ушиб, прислушайтесь к своему состоянию и определите есть ли у вас признаки:
- Кратковременный обморок;
- Головная боль;
- Боль из-за влияния яркого освещения или воздействия сильного шума;
- Чувство тошноты с возможной однократной рвотой;
- Расстройство координации движения;
- Скачки артериального давления;
- Зрачки имеют разный размер.
Данная травма требует быстрого лечения, и чем быстрее вы начнете принимать терапию, тем быстрее избавитесь от болезни. Поэтому обращение к врачу при наличии хотя бы одного из признаков после ушиба – обязательно.
Лечение будет классическим, лишь в редких случаях требуется операция, когда гематомы вызывают сильное сдавливание тканей.
Диффузное аксональное повреждение головного мозга
Симптомы
Для диффузного аксонального повреждения головного мозга типично длительное коматозное состояние после черепно-мозговой травмы, а также ярко выраженные стволовые симптомы. Коме сопутствует симметричная либо асимметричная децеребрация или декортикация как спонтанными, так и легко провоцируемыми раздражениями (например, болевыми). Изменения мышечного тонуса весьма вариабельны (горметония или диффузная гипотония). Типично проявление пирамидно-экстрапирамидных парезов конечностей, в том числе асимметричные тетрапарезы.
Кроме грубых нарушений ритма и частоты дыхания проявляются и вегетативные расстройства: повышение температуры тела и артериального давления, гипергидроз и др. Характерной особенностью клинического течения диффузного аксонального повреждения мозга является трансформация состояния пациента из продолжительной комы в транзиторное вегетативное состояние. О наступлении такого состояния свидетельствует спонтанное открывание глаз (при этом отсутствуют признаки слежения и фиксации взора).
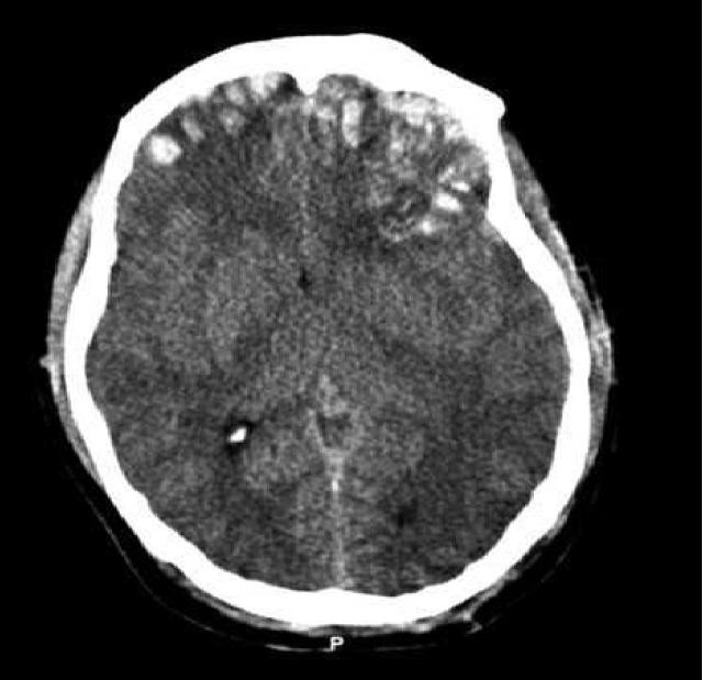
Диагноз
КТ-картина диффузного аксонального поражения мозга характеризуется увеличением объема мозга, в результате которого под сдавлением находятся боковые и III желудочки, субарахноидальные конвекситальные пространства, а также цистерны основания мозга. Нередко выявляют наличие мелкоочаговых геморрагий в белом веществе полушарий мозга, мозолистом теле, подкорковых и стволовых структурах.
Симптомы средней тяжести
Ушиб мозга средней степени тяжести сопровождается более длительной потерей сознания от 20-30 минут – до нескольких часов. Симптомы ярко выражены:
- Острая головная боль;
- Рвота, с повторами несколько раз;
- Нарушается психика (разные проявления;
- Потеря координации движения;
- Темнота в глазах;
- Помутненное сознание.
Ушиб средней тяжести также может сопровождаться брадикардией или тахикардией, повышением артериального давления, симптомами тахипноэ. Если есть переломы костей свода черепа, возможны субарахноидальное кровоизлияние.
Срочное обращение к врачу поможет квалифицированно сделать диагностику и взять спинномозговую жидкость – в ней при средней тяжести в наличии примеси крови.
Признаки средней тяжести, с которыми – срочно к врачу
Травма со средней степенью тяжести не всегда сопровождается положительным прогнозом. Здесь большое влияние оказывает время – чем быстрее вы вызвали скорую помощь, тем положительнее будет эффект лечения. При наблюдении хотя бы одного из признаков, стоит срочно вызывать скорую помощь, вот основные проявления после ушиба:

- Рвота без тошноты, может быть несколько раз;
- Головная боль сильная;
- Скачки давления;
- Повышенная температура тела — до 40 градусов;
- Судороги;
- Потеря ориентации и координации;
- При переломе черепа — из носовой полости может вытекать цереброспинальная жидкость;
- Апатия или возбуждение;
- Сбои в дыхании;
- Кровь из ушной или носовой полости.
Быстрая госпитализация и диагностика смогут помочь больному выздороветь и полностью избавиться от последствия такой травмы.
Летальные исходы при средней тяжести часто связаны с отеком головного мозга при ушибе, когда пациент продолжительное время находится дома – без врачебной помощи.
Этот вид травмы может потребовать как консервативное лечение — медикаментозную терапию, так и хирургическое вмешательство.
Симптомы тяжелой степени
Это самая тяжелая форма ушиба мозга, когда потеря сознания может продолжаться до нескольких недель. Симптомы также выражены ярко:
- Боли в области головы;
- Двигательное возбуждение;
- Трудности с глотанием;
- Двустороннее или симметричное расширение зрачков (мидриаз или миоз);
- Приступы сильнейшего тонического спазма мышц (горметония);
- Нистагм — непроизвольные колебательные движения глаз высокой частоты;
- Частичная утрата произвольных движений мышц с уменьшением силы (парез конечностей);
- Менингеальные симптомы – щечные, средние, нижние, верхние, когда врач при нажатии на определенное место видит сгибание конечностей или подергивания разных частей тела.
Выявить это возможно только при госпитализации, где после диагностики будет определен и спектр сопутствующих заболеваний, спровоцированных ушибом мозга:
- Переломы костей свода черепа;
- Массивное субарахноидальное кровоизлияние.
Быстрое врачебное вмешательство позволит устранить симптомы и начать лечение, хотя при тяжелых формах статистика выздоровлений печальная, тяжёлые ушибы мозга часто приводят к летальному исходу.
Первые признаки тяжелой степени, требующие незамедлительной госпитализации
Часто пострадавший теряет сознание, такое состояние может привести к мозговой коме. В любом случае вызов скорой помощи просто необходим. Только врачи смогут определить, насколько опасна травма и совместима ли она с жизнью. Такая травма часто приводят к инвалидности или к смертельному исходу пациента. Признаки тяжелой формы следующие:
- Сбои в дыхании;
- Сбои в работе сердца;
- Из носа — цереброспинальная жидкость;
- Кровотечение;
- Расстройство двигательной активности;
- Визуально – изменения формы черепа;
- Отсутствие или изменение чувствительности;
- Паралич конечностей или других участков тела.
Обширные гематомы в области мозга при тяжелой степени ушиба провоцируют возникновение участков с некротическими поражениями клеток и тканей, что препятствует прохождению нервных импульсов.
Если больной вернулся в сознание, то можно наблюдать дополнительные признаки тяжелой формы ушиба мозга:
- Измененное сознания;
- Двигательное возбуждение;
- Утрата функционирования речевого аппарата – полная или частичная;
- Судороги, мышечные спазмы, частичные параличи рук или ног.
Лечение пациентов с тяжелой формой всегда продолжительное – с последующим длительным процессом реабилитации — до нескольких лет. Даже при положительной динамике зачастую у пациентов наблюдаются расстройство психики, проблемы с речью и подвижностью, что становится поводом получить инвалидность.
Что делать тем, кто оказался рядом? Первая помощь

При обнаружении пострадавшего от ушиба мозга первое – это вызывать скорую. Пока она едет целесообразно произвести следующие действия:
- Уложить человека набок.
- Согнуть нижнюю руку в локте, а верхнюю положить под голову.
- Нижнюю ногу выпрямить, а верхнюю согнуть в колене и тазу.
- Осмотреть рот на наличие скопления рвотных масс.
- Удалить их с помощью пальцев, обмотанных бинтом.
Помочь минимизировать любые движения пострадавшего. Важно обеспечить ему полный покой и не поднимать его.
Если все случилось дома, то этапы действий такие же. И не стоит обращать внимания на мнимое благополучие, которое может наступить спустя некоторое время после ушиба. Вроде бы пострадавшему уже хорошо, и он весел и бодр. Не стоит доверять этому мнимому благополучию.
Ведь известно, что посттравматические внутримозговые гематомы представляют реальную угрозу для здоровья и жизни – ведь пока травмированный ходит и радуется, они продолжают расти и давить на мозг, вызывая его отек и дислокацию его структур. Экстренная госпитализация, диагностика и возможное нейрохирургическое вмешательство могут спасти жизнь пациента.
Обращайтесь в отдел экстренной помощи, а также к неврологу, травматологу, хирургу или терапевту.
Диагностика
После вызова скорой помощи при любой степени ушиба, врач начинает диагностику, в которую входят этапы:
- Визуальный осмотр;
- Сбор анамнеза;
- КТ головного мозга томографическая, аксильная – с контрастным усилением и без такового.
КТ помогает увидеть полную картину и определить:
- Тяжесть ушиба;
- Плотность тканей;
- Степень отечности;
- Петехиальные кровоизлияния;
- Контузионный очаг;
- Зону детрита и пр.
Это необходимо врачу для определения степени тяжести и дальнейшего курса терапии.
К примеру, ушиб средней тяжести дает томограмму очагов с пониженной плотностью, либо повышенную – при геморрагическом типе. Это позволяет определить дальнейшие действия врача.
Также КТ является основным методом диагностики и во время лечения – для анализа динамики уменьшения очага и определения наиболее эффективный методов лечения.
Отличия от сотрясения
При диагностике врачу важно исключить сотрясение мозга – ведь зачастую симптоматика очень схожа, особенно с симптомами в легкой форме. В обоих заболеваниях наблюдается одинаковая симптоматика, только формы ее проявления разные. Таблица отличий:
| Симптомы | Ушибы | Сотрясение |
| Головная боль | Резкая, сильная, продолжительная | Тупая, фоновая |
| Отечность, кровоизлияния | Сильно проявлены | Нет |
| Потеря сознания | Продолжительные, до нескольких дней | Кратковременные, до нескольких минут |
| Сознание | Нет ясности | В сознании |
| Амнезия | Продолжительная | Кратковременная |
| Температура | Повышается до 40 градусов | Нет |
| Сердечная деятельность | Проблемы | Нет |
| Непроизвольное движение глаз | Интенсивное | Может быть, но не ярко выраженное |
Профессионал никогда не спутает эти два абсолютно разные заболевания.
Методы лечения головы
После диагностики врач определяет, каким методом наиболее эффективно проводить лечение того или иного пациента – в строго индивидуальном порядке, учитывая ряд факторов:
- Степень тяжести ушиба;
- Причины возникновения;
- Длительность болезни;
- Возраст пациента;
- Наличие сопутствующих заболеваний;
- Физиологию пациента;
- Генную предрасположенность;
- Аллергические реакции на медикаменты и пр.
На основании показаний КТ и общего анамнеза врач может определить дальнейшие виды лечения. Таблица основных видов терапии:
| Вид лечения | Суть и необходимость |
| Консервативное | Медикаменты, физиолечение, народные средства, гимнастика (чаще при легкой и средней степени) |
| Операционное | При тяжелой форме, по показаниям — при средней степени тяжести |
| Экстренное | При угрозе жизни потерпевшего |
| Плановое | При легкой и средней степени тяжести, когда здоровью и жизни угрозы нет. |
Если медлить некогда
Если же пациент поступает в больницу с тяжелой степенью ушиба, то времени на дополнительные диагностические мероприятия просто нет – надо экстренно спасать человека. Поэтому делается КТ и врач видит состояние головного мозга: очаги повышенной (сгустки крови) и пониженной (размозжения и отека) плотности. Тогда может быть назначена экстренная операция.
При крайне тяжелых поражениях зона деструкции церебральной ткани уходит вглубь к подкорковым структурам. Тогда также принимается решение об операции. Такой метод рекомендуется выполнять, чтобы устранить первичные повреждения, которые были вызваны травматическими факторами. Хирургическая терапия применяется в 15-20% случаев после ушибов мозга средней и тяжелой степеней.
«При лечении пациентов с ушибом мозга тяжелой степени, сопровождающимся угнетением уровня бодрствования до комы, необходимо проводить мониторинг внутричерепного давления (ВЧД)» НИИ скорой помощи им. Н.В. Склифосовского.
Показания к операции
Проведение оперативного вмешательства назначается при ряде факторов:
- Отек мозга;
- Повышенные показатели внутричерепного давления;
- Проблемы с состоянием сознания – пребывание в сопорозном или коматозном состоянии;
- Замедленная или нарушенная работа внутренних органов;
- Объемный очаг патологии – более 20-ти куб. см.
Виды операций
Перед операцией выявляются также и противопоказания, которые могут сыграть решающую роль в проведении оперативного вмешательства или отказе в нем. Но зачастую врачи проводят операцию – ведь на чаше весов жизнь пациента. Метод хирургического вмешательства выбирается строго индивидуально, основные методы в таблице
| Вид | Описание |
| Устранение зоны с размозженной тканью и проведение костно-пластической трепанации черепа | Открытие черепной коробки и максимальная доступность ко всем тканям мозга |
| Удаление очага с размозженной тканью и декомпрессионная трепанация черепа | Открывается определенный участок мозга с иссечением височной области |
| Декомпрессионная трепанация без удаления области с размозженной мозговой тканью | При небольшом размозжении тканей мозга, выполняется декомпрессия, которая позволяет нормализовать давление. |
Но после любой операции будут применены и консервативные методы терапии — для корректирования вторичных повреждений, исключения осложнений и быстрейшего выздоровления.
Консервативный метод лечения ушиба головного мозга
Устранить вторичные факторы (часто это ишемия головного мозга) помогут консервативные методы лечения, описанные в таблице:
| Название терапии | В чем суть |
| Респираторное | При проблемах дыхательной системы, при явном уменьшении кислорода в крови; проводится интубация трахеи при помощи оборудования, обеспечивающего искусственную вентиляцию легких. |
| Инфузионная терапия (внутривенное вливание) | При снижении объема циркулирующей крови необходима поддерживающая терапия, призванная нормализовать давление в пределах 70 мм рт.ст. |
| Нормализация показателей внутричерепного давления | Применяется базовое (устранение фаторов) и экстренное лечение (ВЧД более 21 мм рт. ст.) — при помощи внутрижелудочкового катетера или процедуры гипервентиляции легких; если нет эффекта — искусственная кома, декомпрессионная трепанация черепа. |
| Нейропротекторное лечение | Восстановление мозговых клеток, в частности серого и белого вещества мозговой ткани — при помощи специальных лекарств с нейропротекторным воздействием. |
Защитить клетки головного мозга
Основой лечения ушибов мозга является нейропротекторный метод, защищающий нервные клетки от патогенного влияния вторичных повреждений, способствующий полноценному восстановительно-репаративному процессу в сером и белом веществе головного мозга. При нейропротекторном воздействиии назначаются разные препараты – как в виде инъекций, так и в таблетированной форме:
- Эритропоэтин — при средней и тяжелой степени тяжести ушиба, в виде раствора для внутривенного вливания;
- Прогестерон — в виде раствора для внутривенного введения;
- Лескол – таблетки, устраняющие воспалительный процесс и улучшающие кровоснабжение головного мозга.
Народные средства – как дополнительная терапия

Ушиб головного мозга невозможно вылечить только народными средствами, они помогут восстановиться после основного лечения. Тогда после выписки из больницы врач рекомендует те методы народной медицины, которые помогут больному быстрее пройти реабилитационный и восстановительный периоды и в домашних условиях ускорить реабилитацию.
К таким терапевтическим методам можно отнести ряд растений, чьи отвары и чаи помогут восстанавливаться после столь тяжелой травмы, есть ряд проверенный рецептов:
- Смесь пустырника, боярышника, подорожника, девясила с окопником в одинаковом количестве просто заливается кипятком, настаивается и потом пьется по графику и в дозах – в соответствии с рекомендациями врача;
- Отвар плодов шиповника с добавлением меда и лимона;
- Листья Гинкго Билоба – просто добавлять в чаи или еду;
- Плоды боярышника, облепихи перемешать, добавить мед – привести в состоянии кашицы;
- Измельчить изюм, инжир, фисташки, перемешать – дозы и график приема определит врач.
Народная медицина не терпит дилетантизма, поэтому совет врача в применении того или иного рецепта просто необходим.
Могут ли быть осложнения?
Степень осложнений и длительность периода реабилитации зависят от степени тяжести травмы. Если ушиб легкий, то и полное восстановление не заставит себя ждать. И после лечения под контролем врача пациенты избавляются от болезни навсегда и полностью.
Сложнее дело обстоит с ушиб головного мозга средней степени, здесь варианты развития могут развиваться по различным схемам:
- Полное выздоровление;
- Как последствие — посттравматический арахноидит, посттравматическая гидроцефалия, посттравматическая эпилепсия, синдром вегетососудистой дистонии, посттравматическая энцефалопатия.
Тяжелая степень всегда развивается по худшему сценарию и оставляет после лечения иные виды болезни в виде осложнений:
- Атрофия мозга;
- Воспаление мозговых оболочек (арахноидит, лептоменингит, пахименингит);
- Посттравматическая эпилепсия;
- Гидроцефалия с внутричерепной гипертензией;
- Посттравматическая порэнцефалия (полости в толще мозга, соединяющиеся с желудочками и субарахноидальным пространством);
- Ликворные кисты;
- Рубцы в области ткани мозга и его оболочек;
- Ликворея (истечение ликвора наружу) при наличии перелома костей черепа.
Эти осложнения проявляются у человека в виде расстройств:
- Двигательной системы;
- Речи;
- Координации;
- Психических;
- Интеллектуальных и пр.
Всю жизнь таких пациентов могут сопровождать симптомы:
- Головные боли;
- Судороги;
- Припадки.
Тогда надо встать на учет и получить группу инвалидности. Ведь с такими осложнениями человек не может полноценно за собой ухаживать и просто полноценно жить.
Но все же для пациентов с тяжелой степенью ушибов мозга это – лучший прогноз, ведь по статистике около 30-50% случаев этой травмы заканчиваются летальным исходом в острой фазе болезни. Но стоит помнить, что «прогноз при ЧМТ зависит от локализации и размеров контузионного очага, внутричерепной гипертензии, отека мозга, симптомов дислокации, гидроцефалии, судорог, вторичной ишемии мозга.
Восстанавливаемся правильно

Существуют определенные правила реабилитации, которые включают в себя не только правильное питание и соблюдение режима дня, но и физиотерапию, те же народные средства. В больнице за всем этим следит лечащий врач и персонал. Но когда пациента выписывают, то он сам в окружении своих близких должен продолжить соблюдать основные полноценной и эффективной реабилитации:
- Исключить физическую нагрузку, со временем – только ЛФК;
- Никаких резких движений;
- Свежий воздух – через проветривание или прогулки;
- Не перенапрягать зрение (минимизировать просмотры телевизора или монитора компьютера);
- Соблюдать диету – в рационе должно быть много овощей и фруктов, богатых витаминами и полезными микроэлементами;
- Исключить вредную пищу – сладкое, соленое, жареное, копченое, жирное и пр.;
- Принимать витаминные комплексы;
- Отказаться от пагубных пристрастий – табака, алкоголя;
- Работать с логопедом или психологом – по рекомендации врача;
- Соблюдать режим дня;
- По рекомендации врача – физиолечение;
- Не волноваться – больше позитивных эмоций.
Какие физиопроцедуры могут назначить?
Чтобы восстановление после ушиба мозга было более активным и прогрессивным, врач может назначить физиотерапию:
- Электрофорез;
- УВЧ-терапия;
- Гальванизация мозга;
- Лазерная терапия;
- ДМВ-терапия
- Воздушные ванны.
Назначение физиопроцедур строго индивидуально и лишь по направлению врача. Ведь многим пациентам, к примеру с тяжелой формой болезни, любая физиопроцедура просто противопоказана.
Если все же процедура назначена и после такой терапии состояние ухудшается, то следует сообщить врачу, он заменит метод или вообще исключит физиолечение.
Лечебная гимнастика – в помощь выздоравливающему
Часто врачи назначают выписанным из больницы пациентам комплекс упражнений для промежуточного периода ЧМТ, с определенными рекомендациями – к примеру, делать здоровыми конечностями гимнастику активно, пораженными – пассивно. Всегда начинать делать упражнения после массажа мышц тела.
Вот основные комплексы – для быстрейшей реабилитации и восстановления:
- В положении лежа: руки — вдоль туловища, вдох – кистями рук достаем плечевые суставы, не отрывая локти от горизонтальной поверхности, пальцы ног тянем вниз, выдох – вытягиваем руки и расслабляемся;
- Лежа: вдох — поднимаем предплечья и кисти вверх (руки должны быть выпрямлены в лучезапястном суставе), стопу — на себя, выдох – прежнее положение и расслабление;
- Вдох — руки на груди, ноги согнуты в коленях, выдох — выпрямляем конечности;
- Поочередно поднимаем руки — перпендикулярно туловищу;
- Вдох — согнутую ногу подтягиваем к груди, обхватив ее руками, выдох – ложимся в исходное состояние – руки вдоль туловища, ноги вытянуты;
- Поочередно отводим в сторону выпрямленные ноги;
- Поочередно отводим руки в стороны – сначала под небольшим углом, затем – увеличиваем амплитуду;
- Сидя со спущенными ногами: вдох — отводим в сторону руку, поворачиваем за ней голову, выдох — опускаем руку опустить, делаем то же другой рукой;
- Сидя разводим руки в стороны, голова — прямо, несколько секунд сидим ровно, удерживая равновесие, время по мере делания упражнения надо чуть увеличивать;
- Сидя и держась руками за край кровати, вдох – вытягиваем одну ногу параллельно полу, выдох – опускаем ногу, то же – с другой ногой;
- Сидя кладем кисти рук на надплечья, производим вращающие движения в плечевых суставах – сразу двумя руками.
Обычно все эти упражнения надо повторять сначала по 3-4 раза, постепенно увеличивая количество – до 8-10. Но все же лучше услышать консультации лечащего врача. Ведь каждый больной индивидуален и требует своего уровня физической нагрузки.
Даже при нарушении координации, наличии парезов конечностей, расстройствах равновесия эти комплексы ЛФК приносят свои весомые результаты, только делать надо их постоянно и правильно.
Какой бы тяжелой ни была травма и какой бы степени ни был ушиб головного мозга, самому пациенту надо знать, что важно:
- Вовремя обратиться к врачу;
- Выполнять все его требования и рекомендации;
- Не лениться и не впадать в уныние;
- Верить, что выздоровление неизбежно.
Другими словами, даже при тяжелых формах сам пациент должен верить в хороший исход и помогать врачам добиться положительного результата лечения.
- https://inBrain.top/bolezni/ushib-golovnogo-mozga.html
- https://diseases.medelement.com/disease/%D0%B7%D0%B0%D0%BA%D1%80%D1%8B%D1%82%D0%B0%D1%8F-%D1%87%D0%B5%D1%80%D0%B5%D0%BF%D0%BD%D0%BE-%D0%BC%D0%BE%D0%B7%D0%B3%D0%BE%D0%B2%D0%B0%D1%8F-%D1%82%D1%80%D0%B0%D0%B2%D0%BC%D0%B0-%D1%81%D0%BE%D1%82%D1%80%D1%8F%D1%81%D0%B5%D0%BD%D0%B8%D0%B5-%D0%B3%D0%BE%D0%BB%D0%BE%D0%B2%D0%BD%D0%BE%D0%B3%D0%BE-%D0%BC%D0%BE%D0%B7%D0%B3%D0%B0-%D1%83%D1%88%D0%B8%D0%B1-%D0%B3%D0%BE%D0%BB%D0%BE%D0%B2%D0%BD%D0%BE%D0%B3%D0%BE-%D0%BC%D0%BE%D0%B7%D0%B3%D0%B0-%D0%B2%D0%BD%D1%83%D1%82%D1%80%D0%B8%D1%87%D0%B5%D1%80%D0%B5%D0%BF%D0%BD%D1%8B%D0%B5-%D0%B3%D0%B5%D0%BC%D0%B0%D1%82%D0%BE%D0%BC%D1%8B-%D0%B8-%D1%82-%D0%B4/12779
- https://kiberis.ru/?p=30871
- https://www.KrasotaiMedicina.ru/diseases/zabolevanija_neurology/brain-injury
