Усталость, потеря веса, приливы, сердцебиение, ломкость ногтей… Все эти признаки могут указывать на заболевание щитовидной железы (гипертиреоз или гипотиреоз). Дисфункция, от которой страдает 10% населения России. Эта небольшая…
Отеки головы
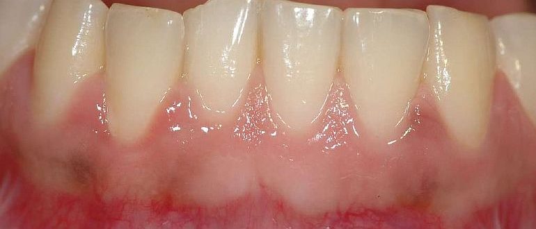
Отек десен является распространенным симптомом. Затем можно обнаружить воспаление на всех деснах (гингивит) или в локализованном месте (абсцесс). Как правило, бывает небольшое кровотечение и очень красная десна. Причины Основной причиной является инфекция…
Новообразования внутри черепной коробки могут появиться у людей любого возраста, затрагивая практически все структуры и отделы мозга. Причем заболевание по наследственному признаку часто передается от взрослых родителей, у…
Если появились отеки после ботокса, то не стоит поддаваться панике – это вполне нормальное явление. Реакция организма на введение препарата и микроскопические инъекции — травматизация покровов. Если припухлость…
Венозный застой сосудов головного мозга – жизнеугрожающее состояние, которое является не самостоятельной патологией, а осложнением основного заболевания. При застойных явлениях, в тканях мозга оседают продукты метаболизма, клетки получают недостаточное…
Кома при отеке мозга является опасным заболеванием, которое требует постоянного наблюдения под контролем врачей в условиях стационара, так как такое состояние может стать причиной скоротечного летального исхода. О…
Некоторые воспалительные процессы, особенно воспаления оболочек мозга приводят к отечности мыслительного центра. При этом объем сильно возрастает. К главным факторам относят увеличение пропускной способности мембран и дефекты в…
Правильно выполненная процедура пилинга сделает кожу лица гораздо моложе и привлекательней. Однако не все готовы решиться на процедуру из-за возможных негативных последствий. Одно из возможных осложнений — отек…
