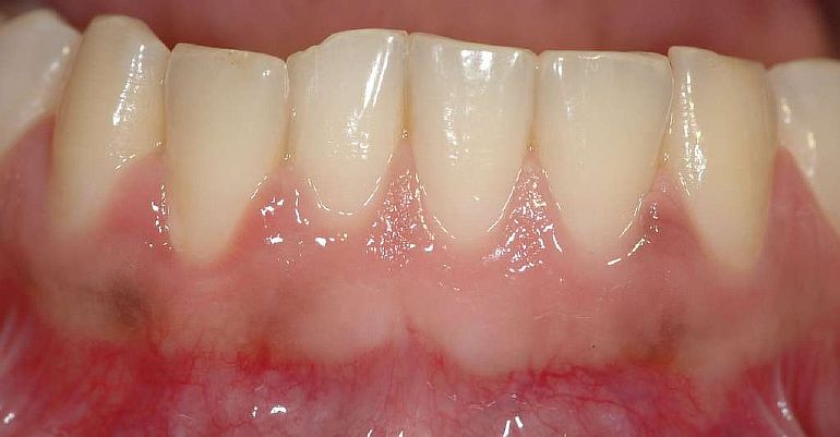
Отек десен является распространенным симптомом. Затем можно обнаружить воспаление на всех деснах (гингивит) или в локализованном месте (абсцесс). Как правило, бывает небольшое кровотечение и очень красная десна.
Причины
Основной причиной является инфекция (гингивит). Воспаление десны еще связывают с бактериальной или вирусной инфекцией. Это часто является причиной неправильного ухода за зубами. Зубной абсцесс, причина набухания десны. Некоторые инфекции, такие как первичная герпетическая инфекция, также могут вызывать большое воспаление десен. Табак и химиотерапия, также может быть пусковым фактором.

Обращайтесь в специализированные клиники vashdoctord.ru для профессиональной стоматологической помощи.
Тревожные симптомы
Тревожными симптомами набухания и воспаления десен могут быть, например, лихорадка, раны, язвы, состояние ваших зубов — все это признаки, которые нужно наблюдать, чтобы помочь понять, что происходит.
Что делать и как лечить
Вы можете аккуратно чистить зубы, используя зубную нить. Возможно, что пища застряла где-то, вызывая воспаление (септальный синдром). Наконец, вы можете ополаскивать прохладной водой, это успокоит воспаление.
В случае боли, не стесняйтесь принимать парацетамол, в нормальной дозе для вашего веса. Как правило, нет особого лечения. Не прекращайте чистить зубы, опасаясь воспаления. Это усугубит зубной камень, который ухудшит положение!
Отек десен — всегда показатель чего-то не очень хорошего. Воспаление может исчезнуть, если оно вызвано плохим состоянием полости рта, но оно может и вернуться. Поэтому лучше консультироваться со своим стоматологом систематически. Однако в случае сопутствующих признаков (лихорадка …), возможно, лечения (химиотерапия), проконсультируйтесь с врачом.
Врач начнет с клинического обследования, которое устранит очевидные причины (подозрительные поражения, травматический зубной аппарат …) для их лечения. Если причина кровотечения связана с проблемой зубов, он направит вас к вашему стоматологу. Стоматолог будет искать стоматологическую инфекцию для ее лечения. Он даст вам советы по чистке и сможет провести очистку от налета.
Профилактика
В большинстве случаев опухоли десен возникают из-за проблем гигиены полости рта. Однако, если вы регулярно чистите зубы, возможно, вы делаете это неправильно. Несколько исследований показали, что использование электрической зубной щетки улучшает чистку. Это может быть правильным решением!
Лучшая профилактика — чистить зубы часто (минимум два раза в день) и в течение 2 минут. Щетина щетки не должна быть слишком жесткой, чтобы не раздражать десны. Ее также нужно менять каждые 3 месяца. Наконец, чистка должна быть вертикальной, не говоря уже о зубах внутри.
