- Что такое синдром раздраженного кишечника?
- Как проявляются боли
- Характер болей
- Классификация
- Существуют ли способы профилактики рецидивов/повторов заболевания?
- Прогноз
- Факторы и группы риска
- Симптомы синдром раздраженного кишечника
- Из-за чего возникает дивертикулы?
- Когда необходима срочная операций?
- Причины язвенного колита
- Диагностика ректоцеле
- Госпитализация
- Лабораторная диагностика
- Какова анатомия толстой кишки?
- Преимущества минимальноинвазивных операции при дивертикулезе и дивертикулите
- Причины боли при запоре
- Эпидемиология
- Причины развития патологического явления
- Будет ли выводится кишка на переднюю брюшную стенку (формирование стомы) при плановой операции?
- Клиническая картина
- Клинические критерии диагностики
- Cимптомы, течение
- Всегда ли кишка выводится на переднюю брюшную стенку при экстренной операции?
- Методы лечения выпадения прямой кишки
- Дифференциальный диагноз
- Диагностика синдрома раздраженного кишечника
- Осложнения при отсутствии лечения
- Возможные осложнения запоров
- Какие обследования необходимо выполнить при подозрении на наличие дивертикулярной болезни?
- Лечение синдром раздраженного кишечника
- Диета при синдроме раздраженного кишечника
Что такое синдром раздраженного кишечника?
Это расстройство работы кишечника и дискомфорт в животе во время дефекации. Сам по себе синдром – это не болезнь, а скорее набор симптомов, которые часто возникают по неизвестной причине. К сожалению, такое расстройство может значительно снизить качество жизни человека, заставляя его пребывать в неудобном состоянии: нарушается пищеварение, ухудшаются обменные процессы в организме, снижается насыщение организма человека питательными веществами.
Синдром раздраженного кишечника – очень частое явление среди людей возрастом от 25 до 40 лет. Статистика показывает, что хотя бы один раз в жизни каждый третий человек испытывал на себе неприятные симптомы синдрома раздраженного кишечника.
Заниматься самолечением в данном случае может быть весьма опасно для здоровья. Дело в том, что синдром лечится комплексно и под пристальным вниманием лечащего врача. Последствием самолечения может стать кишечная непроходимость и многочисленные хронические заболевания ЖКТ. С первыми признаками синдрома раздраженного кишечника стоит обратиться к терапевту, который направит к более узкому специалисту – гастроэнтерологу. Диагноз обычно выставляется только после исключения опухолей, воспалительных изменений в кишечнике.
В кишечнике происходит процесс переваривания пищи и получение питательных веществ организмом. Когда пища поступает в кишечник, она продвигается вдоль кишечника. Этот процесс продвижения достигается за счет работы гладкомышечных клеток в составе стенок кишечника. Клетки попеременно сокращаются и расслабляются. Но при появлении СРК (синдрома раздраженного кишечника) работа клеток нарушается. Пища начинает проходить по кишечнику либо слишком быстро, либо слишком медленно. В результате появляются дискомфортные ощущения и запоры или диарея.
Как проявляются боли
Боли при запоре возникают из-за скопления в толстом кишечнике каловых масс. Плотный кал растягивает кишечные стенки, в результате чего происходит сдавливание и нарушение работы других внутренних органов.
Неприятные ощущения при запоре носят различный характер. Боли могут возникать в животе, области сфинктера, пояснице, паховой области. Болезненность во время акта дефекации зачастую возникает из-за появления трещин в анальной области, развития геморроя, воспаления прямой кишки. Боли нередко появляются во время позывов к опорожнению, а также между ними.
Иногда боль при запоре у взрослых внезапно возникает непосредственно во время дефекации. Это связано с заболеваниями органов ЖКТ: панкреатитом, аппендицитом, холециститом. Определить истинную причину запоров и болей может только врач. Если нарушения дефекации носят постоянный характер, лучше всего пройти полное медицинское обследование.
Характер болей
При запоре болевые ощущения отличаются по степени выраженности и локализации. Если болит нижняя часть живота, то, скорее всего, запор вызван погрешностями в питании, недостаточным потреблением воды. Как правило, при этом боль тупая, колющая, сопровождается коликами и урчанием. В этом случае неприятные ощущения проходят сразу после дефекации.

Острая и ноющая боль при запоре, которая не проходит после опорожнения кишечника, может свидетельствовать о патологиях ЖКТ. Локализация боли зависит от причины ее появления. Например, при остром гастрите болит эпигастральная область, наблюдаются изжога и тошнота. Для кишечной непроходимости характеры боли в левом боку, а также повышенная температура. Хронический панкреатит сопровождается опоясывающей или сильной болью в левом или правом подреберье.
Болевой синдром нередко сопровождается снижением аппетита, головной болью, изжогой, неприятным запахом изо рта. Кроме того, при запорах часто появляется ощущение распирания, ощущение пробки в области прямой кишки. Твердый кал повреждает стенки прямой кишки и сфинктера, следовательно, вызывает боль, которая может сохраняться долгое время после дефекации.
Воспаление придатков и другие гинекологические проблемы также могут стать причиной запоров. Проблемы с кишечником нередко возникают на фоне заболеваний почек. В этом случае боль будет локализоваться в поясничном отделе, а также в нижней части живота.
Боли схваткообразного характера, возникающие в результате спазмов гладкой мускулатуры кишечника, появляются из-за скопления газов и кишечных колик. Это существенно затрудняет процесс дефекации. При кишечных коликах боли ярко выражены и носят нарастающий характер. При коликах наблюдаются напряжение мышц передней брюшной стенки, вздутие живота и спазмы. Такое состояние может длиться от нескольких часов до нескольких дней. После колик обычно возникает стойкий запор или диарея.
Такие симптомы, как метеоризм, вздутие и запор, часто проявляются на фоне синдрома раздраженного кишечника. СРК проявляется болями и вздутием живота, которые сопровождаются изменением консистенции стула.

Выраженность неприятной симптоматики зависит от причины запора. Такое состояние нельзя пускать на самотек. Первое, что нужно сделать при появлении неприятных симптомов, — посетить терапевта или гастроэнтеролога. Врач проведет необходимую диагностику, назначит анализы и обследования для выявления факторов, провоцирующих проблемы с дефекацией.
Классификация
Единая классификация отсутствует. В качестве наиболее употребительной применяется классификация Milsom-Maziner (1986). Данная классификация основана на степени тяжести стеноза, прямо коррелирующей, по мнению авторов, с прохождением в анальный канал пальца или ретрактора определенного размера.
По выраженности стеноза:
1. Слабый — при хорошей смазке возможно введение в канал указательного пальца или ретрактора среднего размера без выраженных усилий.
2. Умеренный — требуется усилие при введении мизинца или ретрактора среднего размера.
3. Тяжелый — введение пальца невозможно, ретрактор малого диаметра вводится с усилием.
Стеноз по уровню поражения:
— низкий — 0,5 см ниже зубчатой линии (около 65% случаев);
— средний — промежуток 0, 5 см по обе стороны от зубчатой линии (около 18,5% случаев);
— высокий — 0,5 см проксимальнее зубчатой линии (около 8,5% случаев);
— диффузный — анальный канал захвачен целиком (около 65% случаев).
При болезни Крона и других воспалительных заболеваниях прямой кишки образующиеся тяжи, вызывающие стеноз, принято разделять (по ширине фиброзного тяжа) на:
— кольцеобразные (протяженность до 2 см);
— трубчатые (протяженность более 2 см).
Примечание. Имя одного из авторов классификации может встречаться в различных вариантах написания, например Maziner, Mazire, Maziew.
Существуют ли способы профилактики рецидивов/повторов заболевания?
В первую очередь следует избегать запоров и потребления пищи с мелкими частицами – орехов, семян, фруктов и овощей с мелкими косточками.
Прогноз
Хирургическое лечение приносит положительный результат без рецидивов в 80% случаев. У 70-75% пациентов в результате лечения восстанавливается эвакуаторная способность кишечника. При этом у 25-30% пациентов возникают нарушения транзиторной функции.
При этом чем раньше пациент обращается за помощью, тем благоприятнее будет прогноз. К сожалению, часто больные идут к врачу только на поздних стадиях развития патологии, когда пролапс уже очевиден, функции кишечника нарушены, а в тканях начались необратимые изменения. В таком случае риск развития опасных для жизни осложнений увеличивается в разы.
Факторы и группы риска
— оперативные вмешательства на дистальнойдистальный — (лат. distalis) — расположенный дальше от центра или срединной линии
части прямой кишки и анальном канале;
— колитыКолит — воспаление слизистой оболочки толстой кишки
различной этиологии;
— опухоли заднего прохода и прямой кишки.
Симптомы синдром раздраженного кишечника
- тошнота и наличие рвотного рефлекса;
- метеоризм с обильным выделением газов;
- боли или спазмы в животе;
- постоянное вздутие живота;
- нарушения стула – запоры или понос;
- рези внизу живота;
- нарушение сна;
- усиленное сердцебаение;
- повышенная усталость;
- долгое переваривание пищи;
- появление слизи в кале;
- ложные позывы к дефекации;
- потеря аппетита.
Также заболевание часто сопровождается симптомами, на первый взгляд, не характерными для кишечных патологий: головные боли, неприятные ощущения в области позвоночника и в мышцах, потеря веса и отеки живота. Все эти симптомы не постоянны, они могут исчезать, а с истечением времени снова появляться. Неприятные ощущения чаще всего появляются после каждого приема пищи, а затем становятся менее выраженными.
Из-за чего возникает дивертикулы?
Часто на приеме у врача пациенты, у которых диагностирована дивертикулярная болезнь, задают вопрос: «Почему развилась эта болезнь?» Каковы же причины данного заболевания? Большое количество информации интернете не всегда дает четкого разъяснения. Попробуем рассказать подробнее.
Мы считаем, что все основные причины возникновения дивертикулярной болезни можно разделить на две взаимосвязанные группы:
- Повышение давления в просвете кишки;
- Слабость кишечной стенки.
Дефицит растительной клетчатки в питании приводит к уменьшению объема и повышению плотности каловых масс, что вызывает нарушения двигательной активности толстой кишки: даже на незначительное раздражение она реагирует хаотичными сокращениями. Таким образом появляются короткие замкнутые сегменты кишки с повышенным внутрипросветным давлением, что приводит к выбуханию слизистой через «слабые» участки кишечной стенки — места, где проходят кровеносные сосуды.
Для наглядного понимания формирования дивертикула предлагаем Вам интересное сравнение:
«Стенка кишки похожа на слоистую структуру футбольного мяча – снаружи крепкая и твердая кожа, а внутри – мягкая, но эластичная резиновая камера.
А теперь представьте, что во внешней твердой оболочке этого мяча образуется отверстие, дырочка. Что же тогда случится? Высокое давление внутри мяча вытолкнет часть мягкой и эластичной внутренней резиновой камеры наружу: образуется торчащий наружу кармашек. Это можно сравнить с грыжей на животе – через дефект в мышцах наружу «выпирает» содержимое.
Примерно то же самое происходит и с толстой кишкой при дивертикулезе. Если давление внутри просвета кишки большое, а в мышечном слое имеются слабые места, то внутренняя выстилка кишки стремится наружу через эти отверстия, образуя выпячивания в виде мешочков. Они называются дивертикулы.»
Когда необходима срочная операций?
Срочная операция необходима при распространении гнойного воспаления на брюшину, т.е. перитонита, что является жизнеугрожающим осложнением.
Причины язвенного колита
Как и многие другие хронические болезни (астма или артериальная гипертензия), язвенный колит не возникает по какой-то одной причине. Заболевание чаще встречается у людей, родственники которых страдают аутовоспалительными или аутоиммунными болезнями; у тех, кто в детстве часто получал антибиотики, обезболивающие или переезжал в далекие страны. Однако по отдельности ни один из этих факторов не вызывает язвенный колит. Скорее совокупность многих событий заставляют иммунную систему атаковать кишечник.
В стенке кишечника много иммунных клеток, а в самой кишке много бактерий. Иммунная система умеет выявлять заведомо вредные бактерии и реагирует на них: выделяет вещества, вызывающие воспаление, уничтожающие бактерии (цитокины, активные формы кислорода). При язвенном колите этот процесс нарушен: иммунная система работает неправильно и принимает «нормальные» бактерии за «врагов».
При кишечной инфекции защитное воспаление кишечника быстро заканчивается, но при язвенном колите иммунные клетки поддерживают воспаление в толстой кишке, привлекая новые и новые клетки. Поэтому язвенный колит редко проходит сам, без лекарств.
Диагностика ректоцеле

Характерные жалобы на затрудненный акт дефекации, необходимость ручного пособия путем надавливания на заднюю стенку влагалища для освобождения прямой кишки являются достаточным основанием для того, чтобы предположить наличие у пациентки ректоцеле. Основным методом диагностики ректоцеле является проктологический осмотр, проводимый на гинекологическом кресле в положении на спине с ногами, согнутыми в коленных суставах и приведенными к животу. При проведении пальцевого исследования прямой кишки и влагалищного исследования при натуживании выявляют выпячивание передней стенки прямой кишки в сторону влагалища. Проведение аноскопии/ректоскопии/колоноскопии является обязательным при всех заболеваниях прямой кишки и анального канала. При этом определяют состояние прямой кишки и выявляют сопутствующие проктологические заболевания. Проводится трансректальное ультразвуковое исследование для определения состояния мышц тазового дна, размеров ректоцеле.
В специализированных клиниках, занимающихся проблемами тазового дна, в том числе в Клинике колопроктологии ЕМС, проводятся сложные исследования функции акта дефекации и анатомии таза с использованием рентгеновского излучения (дефекография), МРТ (МРТ-дефекография), анальнаяманометрия. Обязательно исследование пассажа (прохождения) рентгеноконтрастного вещества по толстой кишке для исключения медленнотранзиторного запора.
Госпитализация
Госпитализация осуществляется при необходимости оперативного вмешательства в отделение проктологии или хирургии.
Лабораторная диагностика
Специфических признаков, подтверждающих диагноз стеноза анального канала и прямой кишки, нет.
Анализы проводятся, исходя из возраста, общего состояния и предполагаемой этиологии.
Какова анатомия толстой кишки?
Для лучшего понимания патогенеза дивертикулярной болезни рассмотрим анатомию толстой кишки.
Толстая кишка представляет собой полый мышечный орган – «трубку», расположенную в брюшной полости в форме «подковы», и является конечным отделом желудочно-кишечного тракта, где происходит формирование и эвакуация каловых масс. Она состоит из следующих отделов: червеобразный отросток, слепая, восходящая ободочная, поперечная ободочная, нисходящая ободочная, сигмовидная и прямая кишка.
Стенка толстой кишки состоит из четырех слоев: слизистого, подслизистой основы, мышечного и серозного.
Слизистая толстой кишки является её внутренней оболочкой, обращенной в просвет. Она представляет собой тонкий слой клеток – цилиндрический эпителий. Слизистая оболочка лежит на собственной пластинке, состоящей из рыхлой волокнистой соединительной ткани, в которой расположены железы, кровеносные и лимфатические сосуды. В самом глубоком слое слизистой оболочки, на границе с подслизистой основой, располагается мышечная пластинка слизистой оболочки. Эпителий слизистой оболочки выполняет покровную функцию, является связующим звеном между стенкой толстой кишки и её просветом – обеспечивает всасывание воды, синтез витаминов группы В и К бактериями кишечника, формирование каловых масс и подготовку их к эвакуации, выделяя необходимое количество слизи.
Подслизистая основа — это слой стенки толстой кишки, следующий за мышечной пластинкой слизистой оболочки. В подслизистой основе располагаются кровеносные сосуды, питающие стенку кишки и нервные сплетения, координирующие ее сокращения. Благодаря подслизистой основе слизистая оболочка может смещаться по отношению к следующим слоям стенки толстой кишки и образовывать складки.
Мышечные волокна стенки кишки расположены как циркулярно, так и продольно. Этот слой выполняет роль каркаса, а также обеспечивает продвижение каловых масс за счет сокращений.
Снаружи толстая кишка покрыта тонкой «пленочкой» — серозной оболочкой.
Для лучшего понимания механизма формирования дивертикулов следует также обратить внимание на особенности кровоснабжения стенки толстой кишки.
Питание толстой кишки осуществляется из системы верхней и нижней брыжеечных артерий, берущих свое начало от аорты – главного сосуда нашего организма. Их ветви образуют единый краевой сосуд, сопровождающий толстую кишку на всем ее протяжении. От краевого сосуда отходят питающие ветки, проходящие сквозь мышечный слой и разветвляющиеся в подслизистой основе. При повышении давления внутри кишечника участки мышечного слоя, сквозь которые проходят питающие сосуды, могут служить «воротами» для формирования дивертикулов.
Преимущества минимальноинвазивных операции при дивертикулезе и дивертикулите
Основными преимуществами малоинвазивных операций являются удовлетворительный косметический эффект (не остается больших шрамов на передней брюшной стенке) и более быстрая скорость восстановления пациента после операции.
Причины боли при запоре
Нарушение дефекации возникает по разным причинам:
- Неправильное питание и малоподвижный образ жизни. Из-за несбалансированности рациона и недостаточной физической активности нарушается кишечная моторика, возникает дисбаланс микрофлоры. В результате появляются запоры.
- Аномалии развития толстой кишки — длинная ободочная и/или сигмовидная кишка.
- Дивертикулярная болезнь толстой кишки.
- Заболевания толстой кишки, прямой кишки и ануса. В результате этих заболеваний появляются физиологические препятствия, затрудняющие движения каловых масс.
- Болезни нервной системы, эндокринные и гинекологические патологии — тормозят обменные процессы в организме.
- Синдром раздраженного кишечника — дискомфорт при дефекации, сопровождающийся изменением консистенции и/или частоты стула.
- Прием некоторых лекарственных препаратов.
Запоры нередко появляются на фоне приема антидепрессантов, антибиотиков и других медикаментов. Также проблемы с опорожнением кишечника часто возникают при беременности, после родов и в послеоперационный период.
К признакам кишечного стаза, указывающим на серьезные патологии, относятся примеси крови в стуле, сильное вздутие живота (тимпанит), снижение веса, рвота.
Поэтому, как мы видим, причины болей при запорах могут скрываться в причинах самих нарушений дефекации. При отсутствии органической и иных патологий неприятные ощущения могут быть связаны со сдавливанием тканей, растяжением стенок кишечника и их сопротивлением давлению, раздражением рецепторов. Иногда боли сопровождают ложные позывы к дефекации и позывы, которые не принесли желаемого результата. В большинстве случаев болезненные ощущения могут возникать и в перерыве между позывами, и при их отсутствии.
Эпидемиология
Пол: все
Возраст: преимущественно молодой
Признак распространенности: крайне редко
Соотношение полов(м/ж): 1
Взрослые
Поскольку заболевание является, прежде всего, осложнением оперативного лечения геморроя, статистически группы пациентов практически совпадают с таковыми при геморрое тяжелой степени.
Средний возраст пациента — 40-48 лет. Второй всплеск наблюдается в группе пожилых пациентов с онкологическими заболеваниями или моторными дисфункциями прямой кишки.
Различий по полу не выявлено.
Дети
Страдают, как правило, дети младенческого возраста. Именно они оперируются по поводу врожденных патологий толстой кишки или страдают некротическим энтероколитом.
Причины развития патологического явления
- Питание. Негативно сказывается на пищеварении употребление жареных, соленых, сладких и жирных продуктов, а также алкоголь содержащие напитки. К тому же, современный человек постоянно перекусывает «на бегу». Что также отрицательно сказывается на работе кишечника.
- Гормональный сбой. Чаще такая причина свойственна женщинам во время таких периодов жизни, как вынашивание ребенка, кормление грудью, менопауза, менструальный цикл. Что касается менструального цикла – во время этого периода происходит изменение количества химических веществ, и проблема начинает проявлять себя более ярко.
- Нарушение моторики кишечника. Если моторика работает в ускоренном режиме, это приводит к расстройству желудка и диарее. Напротив, замедленная моторика кишечника может вызвать запор. В результате болевые ощущения приводят к резкому сокращению мышц.
- Эмоциональное перенапряжение: стресс, депрессия, тревога, усталость.
- Перенесенные заболевания желудочно-кишечного тракта. Инфекции, вызывающие заболевания ЖКТ, в последствии могут повлиять на работу всего кишечника.
Будет ли выводится кишка на переднюю брюшную стенку (формирование стомы) при плановой операции?
При плановых оперативных вмешательствах по поводу дивертикулеза формирование кишечной стомы практически никогда не требуется.
Клиническая картина
Клинические критерии диагностики
- запоры;
- уменьшение диаметра выделяющихся каловых масс;
- затруднение дефекации, требующее избыточного натуживания; неполное опорожнение;
- гематохезия;
- постпрандиальное вздутие живота
Cимптомы, течение
Обычно первыми признаками стеноза анального канала бывают:
— запоры и уменьшение диаметра выделяющихся каловых масс («тонкий», «узкий» стул; стул в виде карандаша) — встречаются в около 77% случаев;
— затруднения дефекации, требующие избыточного натуживания — около 69%;
— чувство неполного опорожнения;
— вздутие живота после приема пищи (чаще всего у детей);
— кровотечения из кишечника (гематохезия — наличие неизмененной крови в испражнениях, кровянистый стул. Является признаком кровотечения в нижних отделах кишечника) — около 23%.
В тяжелых случаях через задний проход может проходить лишь жидкий стул.
Врач должен учитывать возможность функциональных нарушений у пациентов, получающих слабительные и клизмы при продолжительных запорах.
При травматической дефекации, сопровождающейся трещиной, может возникать кровотечение. Однако анальная трещина может выявляться и без спазма анального сфинктера, при этом она возникает за счет травматизации при растяжении заднего прохода. Как правило, у таких пациентов отмечают функциональные нарушения, препятствующие дефекации. Степень анатомических изменений может не полностью соответствовать тяжести симптомов.
Физикальные исследования
Осмотр. Диагноз стеноза анального канала чаще всего очевиден при обычном осмотре перианальной области. Сливающиеся послеоперационные рубцы в перианальной области иногда сразу указывают на причину стеноза.
Пальцевое исследование. В некоторых случаях проведение исследования настолько затруднено, что невозможно даже введение указательного пальца через сужение. Если удается ввести палец (а особенно, если удается вести ректоскоп), клинически значимого стеноза нет.
Всегда ли кишка выводится на переднюю брюшную стенку при экстренной операции?
Данный вопрос решается индивидуально для каждого пациента. Безусловно, формирование стомы показано не в 100% случаев.
Методы лечения выпадения прямой кишки
Консервативные подходы применяют только на самых ранних стадиях болезни. Главная цель таких мероприятий – нормализовать стул и исключить повышенное внутрибрюшное давление. Клинические рекомендации включают:
- богатую клетчаткой диету;
- обильное питье;
- слабительные препараты;
- лекарства для усиления перистальтики;
- нейростимуляцию, которая помогает вернуть контроль над мышцами при нарушении иннервации.
Хирургические методы лечения приносят результат на более поздних стадиях развития пролапса, а также в тех случаях, когда консервативная терапия не дает положительного эффекта. Есть много операций, которые помогают избавиться от патологии. Они предусматривают:
- иссечение выпавшего отдела прямой кишки;
- фиксацию кишечника;
- пластику анального канала, тазового дна;
- резекцию толстой кишки;
- комбинированные методы.
Резекцию выпавшего отдела чаще преимущественно делают с помощью операции Делорма. Хирург удаляет слизистую оболочку и формирует новый мышечный слой в зоне анального канала. Операция обладает малой инвазивностью и подходит даже для пациентов старшего возраста с серьезными хроническими патологиями. Реже резекцию выпавшей доли делают путем лоскутного отсечения по Нелатону или циркулярного удаления по Микуличу.
Среди методов фиксации самой эффективной считается ректопексия – операция, при которой тазовый отдел кишки прикрепляют к стенкам таза, восстанавливая таким образом правильную анатомию органа. Операцию делают пациентам младше 50-55 лет. В 97% случаев устраняется выпадение органа.
Операции по пластике анального канала помогают сузить задний проход с помощью хирургических нитей и проволоки, синтетических материалов. Однако эта группа методов имеет высокий риск рецидива, поэтому используется редко.
Резекция диастальных отделов толстого кишечника необходима при наличии у пациента солитарной язвы или некроза. Часто такую операцию комбинируют с фиксирующими операциями.
У хирургов «СМ-Клиника» есть опыт проведения разных типов операций по устранению пролапса. Врачи нашей клиники в совершенстве владеют современными методиками хирургии и успешно помогают пациентам избавляться от патологического выпадения кишечника.
Дифференциальный диагноз
Стеноз анального канала и прямой кишки дифференцируют со следующими заболеваниями:
— врожденные пороки развития прямой кишки и заднего прохода;
— спаечная непроходимость или стеноз ободочной кишки;
— спазм анального сфинктера;
— трещина заднего прохода с формированием «боязни дефекации».
Дифференциальная диагностика проводится с учетом наличия оперативного вмешательства в анамнезе, данных пальцевого исследования прямой кишки и методов визуализации.
Диагностика синдрома раздраженного кишечника
Если у вас имеются все перечисленные выше симптомы заболевания, обратитесь к терапевту. Он проведет первичный осмотр и направит к гастроэнтерологу. Цель первичной диагностики – исключить наличие других опасных для жизни заболеваний: опухолей, воспалительных процессов, наростов, инфекционных заболеваний.
На приеме у врача нужно предоставить полную историю болезни, сообщить о наличии и частоте симптомов, рассказать о присутствии хронических заболеваний. После осмотра и пальпации (ощупывания) специалист направит вас на лабораторные анализы, среди которых:
- Общий анализ крови. Анализ позволяет определить, присутствует ли в организме воспалительный процесс, а также установить возможную анемию.
- Общий анализ мочи. Определяет наличие или отсутствие крови и паразитов в организме пациента, что позволяет говорить о развитие ряда кишечных заболеваний, отличных от синдрома раздраженного кишечника.
- Анализ крови на целиакию. Специфический анализ крови, который позволяет выявить болезнь пищеварительной системы (целиакию), при которой кишечник перестает нормально переваривать поступающую пищу, что сопровождается диареей.
- Колоноскопия. Это обследование толстой кишки изнутри с помощью специального аппарата (колоноскопа).
- Магнитно-резонансная томография области малого таза и живота. Это не инвазивный метод обследования, который позволяет изучить строение и состояние органов и ткани малого таза у мужчин и женщин с помощью магнитных волн.
После того, как были проведены все исследования и исключены все другие заболевания кишечника, врач приступает к лечению и назначает комплексную терапию, опираясь на историю болезни пациента.
Осложнения при отсутствии лечения
Самое опасное осложнение, которое появляется при игнорировании пролапса – это ущемление выпавшего сегмента кишки. Ущемление появляется при несвоевременном вмешательстве или при попытке самостоятельно вправить выпадение. Сопровождается отеком, нарастающей ишемией, нарушением кровоснабжения. Если вовремя не обратиться за помощью, внешний участок тканей поразит некроз (омертвение тканей).
Еще одно осложнение, к которому приводит патология, – это солитарные язвы. Такие ранки со временем вызывают кровотечения, становятся причиной появления перфораций.
При запущенных стадиях внутреннего пролапса часто возникает острая кишечная непроходимость, перитонит. Это опасные состояния, которые несут угрозу для жизни человека.
Возможные осложнения запоров
Частые запоры могут сопровождаться тяжестью в животе и болями до, во время или после дефекации. Такие проблемы могут привести к неприятным последствиям. Наиболее частые осложнения:
- отравление организма;
- обострение геморроя;
- трещины прямой кишки;
- риск возникновения рака.
Общая интоксикация из-за застоявшихся каловых масс может стать причиной ухудшения самочувствия, снижения работоспособности. Нарушение микробного баланса кишечника при хронических запорах приводит к обострению аллергических заболеваний, кожной сыпи, снижению сопротивляемости организма инфекциям.
Известно, что риск развития колоректального рака у людей, страдающих хроническими запорами, выше. Задержки дефекации приводят к нарушению холестеринового обмена и развитию атеросклероза, а следовательно, и сердечно-сосудистых заболеваний.
Заболевания аноректальной области часто сопровождают запоры. Это связано с тем, что плотные каловые массы травмируют слизистые оболочки прямой кишки, что становится причиной появления анальных трещин. А повышение внутрибрюшного давления может привести к образованию геморроидальных узлов.
Какие обследования необходимо выполнить при подозрении на наличие дивертикулярной болезни?
Первым этапом в диагностике дивертикулярной болезни вне обострения является колоноскопия. При помощи видеокамеры, введенной через задний проход, осматривается более метра кишечника — вся толстая кишка и конечный отдел тонкой. Колоноскопия позволяет не только увидеть наличие дивертикула, но и определить размеры его ворот, состояние стенки, точную локализацию. При обнаружении других изменений в кишечнике колоноскопия позволяет взять кусочек ткани на исследование — выполнить биопсию с дальнейшим гистологическим исследованием, чтобы понять микроскопическую структуру изменений. Это исследование может проводится под легким наркозом, что позволяет полностью избавить пациента от неприятных ощущений, связанных с процедурой.
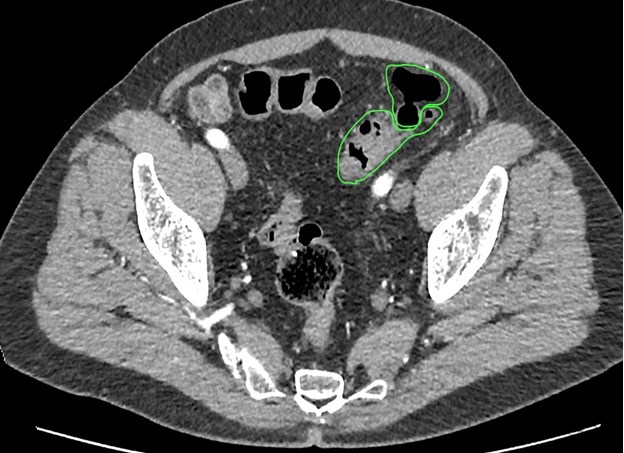
«Золотым стандартом» диагностики дивертикулярной болезни является ирригоскопия. Этот метод позволяет определить количество дивертикулов, их точное местоположение, размеры и форму. Суть процедуры заключается в введении рентгенконтрастного препарата в толстую кишку, после этого выполняется серия рентгенологических снимков, позволяющих оценить состояние толстой кишки. На представленных фотографиях стрелками указаны устья дивертикулов толстой кишки. Синими стрелками мы отметили множественные дивертикулы ободочной кишки. Именно так они выглядят при компьютерной томографии.



Ирригоскопия. Дивертикулез толстой кишки
На рентгенологических снимках, выполненных при ирригоскопическом исследовании, отчетливо видны множественные дивертикулы ободочной кишки. Они выглядят как мешочки, заполненные рентгеноконтрастным препаратом.
Не менее важными методами являются ультразвуковая диагностика и компьютерная томография. Благодаря своей малоинвазивности, простоте выполнения, ультразвуковая диагностика очень актуальна на этапе первичного обследования. Она позволяет увидеть наличие дивертикулов, выявить косвенные признаки их воспаления, такие как инфильтрат, абсцесс или предположить генерализованную форму – перитонит.
Для уточнения данных, полученных при ультразвуковом исследовании, при возникновении сомнений и для уточнения диагноза выполняется спиральная компьютерная томография. Виртуальная компьютерная томография позволяет воссоздать трехмерное изображение толстой кишки, включая пораженные участки. С помощью этой методики можно точно определить границы инфильтрата или абсцесса, другие органы, вовлеченные в воспалительный процесс.

Виртуальная колоноскопия. Устье дивертикула
Лечение синдром раздраженного кишечника
Терапия СРК должна выполняться комплексно в несколько этапов. Схема лечения зависит от индивидуальных особенностей организма, степени и времени протекания патологии. Чаще всего назначается медикаментозная терапия, которая дополняется специальной диетой. При отсутствии комплексного лечения, симптомы будут снова проявлять себя время от времени.
Лекарственные средства, которые врач выписывает для терапии СРК, не просто устраняют болезненные симптомы, но и улучшают состояние пищеварительной системы, а также предотвращают рецидивы и осложнения. При лечении синдрома с диареей назначаются медикаменты с противомикробными свойствами. Они снимают раздражение тканей кишечника, купируют избыточный метеоризм и восстанавливают нормальную работу кишечника.
При лечении СРК с запорами показано применение натуральных лекарственных средств, которые устраняют трудности с дефекацией, щадяще воздействуют на воспаленные ткани кишечника и освобождают его от каловых масс. Могут быть в виде жевательных таблеток или суппозиторий ректальных.
Если же появление СРК связано с неврологическими расстройствами, назначают антидепрессанты – нормализуют работу нервной системы, улучшают психоэмоциональное состояние.
Для купирования боли используются обезболивающие средства и спазмолитики – расслабляют мышечные волокна и ткани, которые находятся в гипертонусе.
Диета при синдроме раздраженного кишечника
Диета при СРК зависит от того, какие симптомы сопутствуют патологии. При частых запорах нужно исключить из питания сухие, соленые блюда. При диарее исключаются жидкие блюда, овощи, фрукты.
Если же вас мучает метеоризм, стоит ограничить молочные продукты, орехи, бобы. При сильной боли в кишечнике не допускается жирная, соленая, тяжелая пища.
- https://medyunion.ru/diseases/sindrom-razdrazhennogo-kishechnika/
- https://www.fitomucil.ru/articles/boli-pri-zaporah/
- https://diseases.medelement.com/disease/%D1%81%D1%82%D0%B5%D0%BD%D0%BE%D0%B7-%D0%B7%D0%B0%D0%B4%D0%BD%D0%B5%D0%B3%D0%BE-%D0%BF%D1%80%D0%BE%D1%85%D0%BE%D0%B4%D0%B0-%D0%B8-%D0%BF%D1%80%D1%8F%D0%BC%D0%BE%D0%B9-%D0%BA%D0%B8%D1%88%D0%BA%D0%B8-k62-4/4752
- https://proctocentr.ru/articles/divertikulyarnaya-bolezn-divertikulyoz-tolstoy-kishki/
- https://centr-hirurgii-spb.ru/proktologiya/vypadenie-pryamoy-kishki/
- https://www.invitro.ru/library/simptomy/28339/
- https://klinikarassvet.ru/patients/zabolevanija/yazvennyy-kolit/
- https://www.emcmos.ru/disease/rektocele-simptomy-diagnostika-lechenie/
