Аллергический отек – это своеобразный ответ нашего организма, который вызывается за счет чувствительности иммунной
Асцит при циррозе печени встречается очень часто, представляет собой скопление в брюшной полости свободной
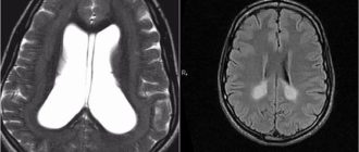
Отек головного мозга у новорожденных – симптом, возникающий как осложнение других патологий. Основное проявление
Отеки – скопление жидкости в пространстве между клеток. В результате переломов, осложнение в виде
Рождение недоношенного ребенка влечет за собой множество рисков и появление серьезных болезней. Одной из
Анафилактический шок является проявлением острой аллергической реакции на разнообразные возбудители. При возникновении такой реакции
Нормальное функционирование головного мозга требует активного и бесперебойного кровоснабжения. Эффективность работы сосудистой системы зависит
Набухание и отек головного мозга в международной классификации болезней G93.6 (код по мкб 10) – это
